医院动态 |
医院动态抗疫救治两不误,双镜联合显神通——溧水区人民医院多学科联合成功救治一例高龄复杂消化道穿孔患者
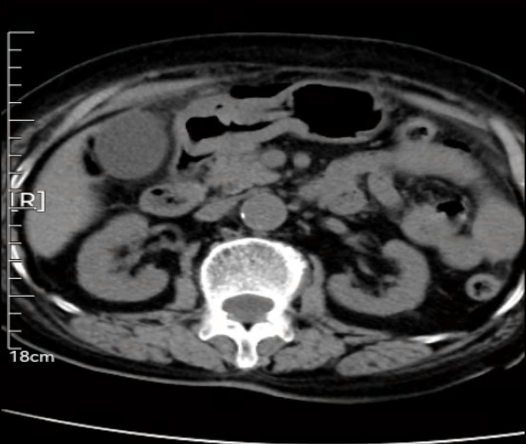
时下正值全国各地新冠疫情防控攻坚阶段,南京市溧水区人民医院普外科借助多学科联合诊疗优势,抗疫、诊疗两不误,成功救治一例高龄消化道穿孔患者。 患者许大妈,84岁高龄,因“间断上腹部疼痛2月,加重1天”于晚21点来我院急诊就诊。患者年龄大、基础疾病多、腹痛明显、心率增快、血压偏低,病情危重,CT提示“消化道穿孔伴弥漫性腹膜炎”。消化道穿孔进展迅速,不及时治疗可能会出现弥散性腹膜炎甚至感染性休克,危及生命。普外科主任张恒及值班医生立即对病人及家属开展流行病学调查,迅速完成核酸采样,同时开启绿色通道收入缓冲病房,救治病人。 老年患者出现消化道穿孔,需要考虑胃部恶性肿瘤导致穿孔的可能性。患者高龄,基础疾病多,病情危重,“保守还是手术?”,“开腹手术还是腹腔镜手术?”,“穿孔修补术还是胃部分切除术?”……嵇振岭院长听取汇报后,连夜赶到医院组织安排影像科、消化科、内镜中心、病理科、麻醉科及ICU等科室组成多学科MDT诊疗团队,对患者的病情及治疗方案进行讨论并与家属进行了深入沟通,决定行“腹腔镜+胃镜”双镜联合手术。 深夜,嵇院长带领各科室为患者进行手术,行腹腔镜探查,发现胃窦部前壁穿孔,内镜中心主任赵向阳行胃镜检查,联合快速病理检查排除恶性肿瘤后,在内镜下放置空肠营养管,为患者术后恢复提供营养支持通道;普外科团队同步进行腹腔镜下胃穿孔修补术+腹腔冲洗引流术…… 手术过程十分顺利,手术结束已经第二天凌晨,患者家属悬着的心也终于落了地,连声感谢医院各位专家所作的努力。术后患者经过短暂的ICU监护管理,已转回普外科病房,目前恢复良好,许大妈也露出了开心的笑容。 近年来,随着院府合作的深入发展,溧水区人民医院各种微创手术、高难度手持续开展并逐渐常规化,在诊疗手段方面也不再是单科室“单打独斗”,而是走多学科讨论协作制定个体化治疗方案路线,各种新思路、新方法如雨后春笋般涌出,为合理诊断、科学治疗提供了更坚强有力的保障。 疫情之下,溧医人始终秉承“新冠防控与医疗救治并重,两手都要抓,双拳都要硬”的要求,一手坚持疫情防控工作不放松,一手抓好开展急救医疗工作,为维护溧水及周边地区的健康卫生工作付出最大的努力。 健康所系,性命相托,溧医人用行动诠释医务工作者的初心,一如既往,竭尽全力救治患者,为患者生命保驾护航! |



