医院动态 |
医院动态超声新技术|盆底超声帮您发现“尴尬病”,远离“社交癌”!
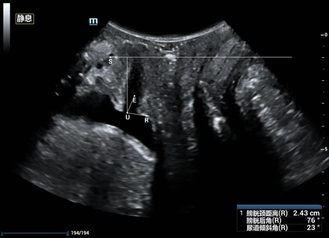
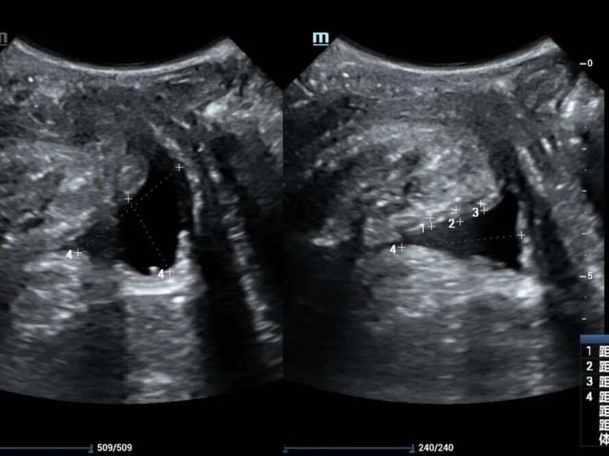
近日,54岁的黄女士因“尿失禁13年”来我院妇女保健科就诊,黄女士讲述了近十年来经常发生尿频尿急憋不住尿的经历,自己咳嗽、大笑或者长时间走路后便出现漏尿等尴尬症状,严重影响正常生活和社交活动。由于涉及隐私部位,怕人笑话,一开始她不敢跟身边的人说起这件事,能忍则忍。最近随着症状加重,难以忍受,终于来我院就诊。 在妇女保健科医师颜惠芳建议下,黄女士前往我院超声医学科行四维盆底超声检查,检查后发现黄女士有膀胱脱垂、子宫脱垂的现象,诊断为“压力性尿失禁”,终于找到漏尿的原因了,黄女士的治疗也可以针对性开展。 现实生活中,不少女性朋友也有过这样尴尬的经历,大笑、打喷嚏、咳嗽时尿液溢出外出时总想找厕所,私密处总有异物感,腰酸背痛,下腹坠胀,夫妻生活不和谐……种种难言之隐羞于说出口,却又如影随形。这一切的罪魁祸首很可能是——盆底功能障碍。 一、什么是盆底功能障碍 盆底功能障碍是指盆底肌肉、筋膜、韧带等支持结构受损而导致的一系列临床症候群,如压力性尿失禁、子宫等盆腔脏器脱垂、粪失禁、梗阻型便秘和性功能障碍等。妊娠和分娩是造成此病的首要原因,其中以经阴道分娩危险性最高,当前已成为影响全球妇女身心健康的五种最常见疾病之一,被称为“社交癌”。 二、为什么会发生盆底功能障碍? 怀孕、分娩、衰老、肥胖、长期便秘、慢性咳嗽、长期提重物等原因,都会导致盆底肌损伤,分娩是造成盆底肌损伤的主要原因。 通常胎儿头部大小都会大于正常的阴道大小,分娩时,阴道会受到胎儿头部的挤压而扩张,造成盆底肌肉损伤。双胎、巨大儿、分娩两次及以上的妈妈们,盆底肌受到的损伤通常会加倍。产后和围绝经期为高发期,被称为严重影响女性生活质量的五大慢性病之一。 三、什么是盆底超声? 盆底超声是使用特殊配置的超声仪器,利用二维图像、三维重建、动态四维显示联合应用,在患者静息、缩肛、valsalva不同状态下,直观了解盆底的静态、动态结构、显示耻骨联合、尿道、膀胱、阴道、宫颈、直肠壶腹及肛管等结构,从而评估盆底各脏器位置、功能,脏器脱垂情况、盆底肌有无损伤等。 盆底超声适应症: 1.盆腔脏器脱垂:膀胱脱垂、子宫脱垂、直肠膨出等; 2.排尿异常:压力性尿失禁、尿潴留、排尿困难等; 3.排便异常:粪失禁、便秘等; 4.性功能障碍:性交痛、性欲降低等; 5.慢性盆腔痛:下腹部疼痛、腰骶部或会阴痛等; 6.产后女性(42天至6个月)盆底功能障碍的早期筛查。 可疑盆底功能障碍性疾病人群、产后复查及围绝经期女性均建议行盆底超声检查。 超声医学科盆底超声检查介绍 我院超声科自2019年开展该项技术以来,已为500余名女性患者完成盆底超声检查。竭诚欢迎有需要的女性市民朋友来电咨询(025-56232058)或前往我院妇女保健科门诊就诊。 盆底超声检查时间:每周一和周二下午(具体以预约安排为准) 盆底超声检查医师简介 褚爱萍 科室副主任,主任医师(资格)。南京超声学会介入与腹部学组委员,从事超声诊断十余年,曾先后于江苏省人民医院及中大医院进修学习,并承担临床教学工作多年,擅长心脏、血管等超声诊断,对腹部、妇产、盆底、浅表、肌骨等亦有丰富的超声诊断经验。 汪金 中国共产党员,副主任医师,医学硕士,先后在四川大学华西医院、重庆医科大学附属儿童医院、北京301医院、朝阳医院等多家三甲医院进修、培训学习,取得了超声产前筛查、盆底超声、输卵管超声造影、肿瘤消融治疗等多项技术资质。 获省妇幼新技术引进三等奖,主持及参与省市级课题3项,发表论文数篇,其中SCI 3篇,授权国家专利9项。 钱露 副主任医师(资格),硕士研究生。毕业于徐州医科大学医学影像专业。从事超声诊断工作十余年,熟练掌握各种常见病、多发病的超声诊断,擅长妇科超声、盆底超声、产前筛查超声等工作。 李诺 主治医师,毕业于徐州医科大学临床医学专业,从事超声诊断工作数年,熟练掌握各种常见病,多发病的超声诊断工作,擅长妇科超声,盆底超声等超声诊断工作。
上一篇:【学术动态】教授云集,大咖齐聚,溧水区人民医院肾内科首届线下学习班成功举办 |



