医院动态 |
医院动态【技术前沿】正逆夹击,开通闭塞12年冠脉
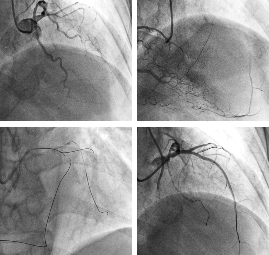
近日,我院心内科“正逆夹击”,以高超的导丝技术成功完成一例高危复杂冠状动脉完全闭塞病变(CTO)手术。 患者胡师傅(化名)68岁,因“反复胸闷10余年,加重一月”入院治疗。 胡师傅约12年前在当地医院诊断为急性心肌梗死,药物保守治疗后出院,之后反复出现胸闷气喘。此次因反复胸闷来我院就诊,入院完善心电图和超声心动图检查,考虑陈旧性心肌梗死,且心脏明显扩大,LV65mm,EF28%,判断已发展为缺血性心肌病,有发生急性左心衰和猝死的风险,病情危重。 心内科副主任鞠成伟和主任医师漆军华详细分析患者病情,考虑冠脉慢性完全闭塞可能,且左前降支病变,需要开通闭塞血管,同时加强药物治疗。 当日行冠脉造影后检查证实了术前判断,患者左前降支中段完全闭塞,血流TIMI 0级,同时合并左回旋支和右冠病变,右冠至左前降支有侧支循环。 鞠成伟主任带领漆军华主任医师,凭借丰富经验,分别穿刺左右桡动脉,在前向导丝通过发生困难后立即启动逆向策略,在微导管支撑下,巧妙的通过右冠状动脉的侧支循环把导丝送至左前降支,经过3个小时40分钟的努力,“左右开弓,穿针引线”,正向和逆向导丝成功会师,终于通过闭塞病变,成功完成PCI。患者闭塞12年的冠脉终于畅通了,心肌供血即刻改善,术后症状较前明显好转。 据鞠成伟主任介绍,冠状CTO病变是指正向TIMI血流0级且闭塞时间≥3个月的冠状动脉阻塞性病变,闭塞时间越长,开通的机会越小。虽然冠脉介入技术不断进展,CTO病变仍被认为是冠脉介入领域难以攻克的“最后堡垒”。开通CTO病变需要手术医师具备丰富的介入经验,熟练掌握各种器械和导丝,而逆向策略是重要的介入技术,增加了手术的成功率。 此例患者伴随血管迂曲、钙化等情况导致介入治疗成功率降低,一旦介入失败,再次介入治疗难度会增加。所幸,患者闭塞12年的冠脉在鞠成伟主任和漆军华主任医师的操作下一次手术即开通。 本例手术的顺利完成,也标志着我院心内科处理冠脉复杂病变的介入技术已经成熟,且达到了新的高度。
上一篇:【喜讯】我院刘小丽护士荣获江苏省“百名优秀护士”称号 |



