医院动态 |
医院动态创新介入治疗,为重症患者打通生命通道
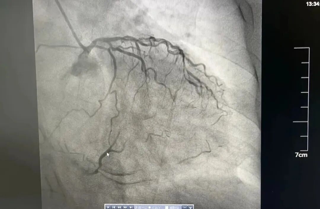
“让一让,病人要立即抢救”,一名老年女性患者正躺在推车上,向心内科导管室飞奔而去。患者持续胸痛,危重症急性心肌梗死,需要立即抢救。此时,心内科主任医师漆军华、主治医师张敦福已经在手术室等待。 漆军华了解到,患者有高血压及劳力性胸痛20多年,3天前起反复胸痛,此次因胸痛持续就诊,结合心电图判断,患者很可能冠脉病变复杂,遂立即向心内科主任陈立娟汇报病情,陈立娟主任指示立即行冠脉造影。 果不其然,冠脉造影结果显示严重三支病变,左主干疑似夹层,左前降支全程严重钙化纤细伴重度狭窄,左回旋支开口狭窄95%以上,可见左冠向右冠提供侧枝循环,右冠状动脉巨大,全程严重钙化,中段完全闭塞,且患者持续胸痛不缓解,血压偏低,基本可以判定患者病情危重,随时有生命危险。 陈立娟仔细查看造影影像后,判断立即行血运重建是拯救患者生命的唯一出路,溧水区人民医院导管室有抢救危重患者的利器——主动脉球囊反博(IABP),建议在主动脉球囊反博(IABP)支持下进行手术。 得到家属同意后,值班护士张燕萍、周红迅速启动IABP机器,配好抢救药品,陈立娟与漆军华穿上铅衣准备上台。看着严阵以待的心内科团队,家属对医院充满了信赖。 手术准备就绪,陈立娟和漆军华迅速穿刺股动脉,送入IABP球囊,两位护士熟练地连接好主动脉球囊反博仪并打开机器,此时患者胸痛有所减轻。左指引导管到位后,工作导丝通过前降支病变送至远端,但因患者冠脉钙化严重,即使最小的球囊也无法通过病变。 面对困境,陈立娟果断改变思路,患者右冠巨大,供血范围极大,如果能开通右冠,有极大的可能性保住患者生命线,幸运的是,在微导管后支撑下,工作导丝很快就通过了中段闭塞病变,随后在右冠植入支架,支架植入后,患者胸痛明显缓解,生命危险终于解除。手术很成功,患者术后转中大医院继续治疗,目前恢复良好,已经出院。
上一篇:【学术动态】无锡市人民医院欧洲自然科学院院士陆培华创新思维讲座走进我院 |



